Cosmetic Dentistry in Gandhinagar
Welcome to Anukul Dental Clinic, here we believe that everyone deserves a smile they can truly be proud of. Dr. Baxis our expert dentist is dedicated to helping you achieve the smile of your dreams through personalised and compassionate cosmetic dentistry services. Let’s see can we help you shine brighter than ever! We are the best at Cosmetic Dentistry in Gandhinagar.
Our Cosmetic Dentistry Services:
Teeth Whitening (Bleaching): Are stains or discolouration dulling your smile? Our exceptional teeth whitening procedures can help return your teeth to their natural brightness, leaving you with a glowing smile that brightens the room.
Braces (Orthodontic Treatment): If you’ve been dreaming of a straighter smile, our orthodontic treatments can make it a reality. Whether you opt for traditional braces or more discreet options like clear aligners, we’ll work with you to achieve the beautifully aligned smile you deserve.
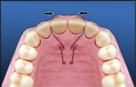
Midline Diastema Closure: Do gaps between your front teeth leave you feeling self-conscious? Our cosmetic solutions can close those gaps and give you a smile that’s seamless and harmonious, boosting your confidence and enhancing your natural beauty.
Smile Design: Your smile is as unique as you are, and our smile design services are tailored to reflect that. We will work with you to develop a custom treatment plan that takes into account your facial traits, preferences, and goals, resulting in a smile that is both beautiful and real.
Why Choose Anukul Dental Clinic for Your Cosmetic Dentistry Journey?
- Our Expertise and Experience: We have years of experience in cosmetic dentistry, our expert dentist Dr. Baxis has the skills and knowledge to deliver exceptional results that will exceed your expectations.
- Personalized Attention: We understand that your smile goals are as unique as you are. Which is why we take the time to listen to your issues and customize our treatments to your specific requirements and preferences.
- Cutting-Edge Technology: We stay at the forefront of dental technology to ensure that you receive the most advanced and effective cosmetic treatments available, all while minimizing discomfort and maximizing results.
- Comprehensive Care: From your first consultation to final results, we’re here to help you every step of the way. Your satisfaction and comfort are our top priority, and we will go above and beyond to make sure you adore your new smile.
- A Warm and Welcoming Environment: At Anukul Dental Clinic, you’re more than just a patient – you’re a valued member of our dental family. Our friendly team will make you feel right at home from the moment you walk through our doors, ensuring your experience with us is as pleasant and enjoyable as possible.
Ready to Embark on Your Smile Transformation?
If you’re ready to take the first step towards a brighter, more confident smile, we invite you to schedule a consultation with us at Anukul Dental Clinic today. Let’s work together to create the smile you’ve always dreamed of – because you deserve to smile with confidence every day!




